Diş Eti Kanaması Nedir? Neden Olur, Ne İyi Gelir ve Nasıl Tedavi Edilir?
Diş eti kanaması, diş etlerinin iltihaplanması veya tahriş olması sonucu diş fırçalama, diş ipi kullanımı veya bazen spontan olarak ortaya çıkan kanamadır. Plak ve diş taşı birikimi, yanlış fırçalama, vitamin eksiklikleri ve hormonal değişimler başlıca nedenlerdir. Erken değerlendirme ve profesyonel tedavi ile ilerleyici periodontal hastalıkların önüne geçilebilir.
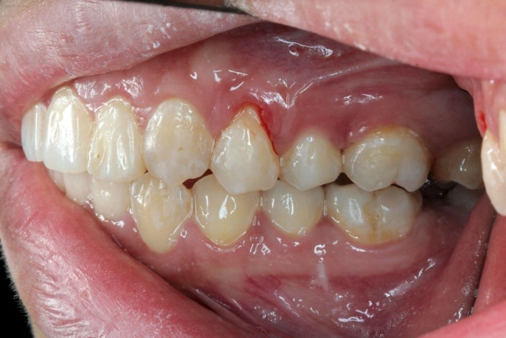
Diş eti kanaması, ağız hijyeninin bozulduğu durumlarda en sık görülen ağız sağlığı şikayetlerinden biridir. Diş etlerinde minik kanamalar, özellikle fırçalama veya diş ipi sırasında açığa çıkar. Bu durum sıklıkla hafife alınsa da, altında yatan etkenler gingivitisten ciddi periodontal hastalığa kadar ilerleyebilir.
Diş Eti Kanaması Nedir?
Diş eti kanaması, diş etlerinin yüzeyindeki ince ve hassas dokuların kanamasıdır. Genellikle diş fırçası, diş ipi veya zorlanma sırasında ortaya çıkabilir. Çoğunlukla plak ve diş taşı birikimi gibi lokal nedenlerle ilişkilidir. Ancak bazen sistemik etkenler, vitamin eksiklikleri veya hormonal değişimler de kanamalara neden olabilir.
Kanama, diş eti sağlığının bozulduğuna dair erken bir uyarı sinyalidir ve göz ardı edilmemelidir. Zamanında müdahale edilmezse, diş eti iltihabı daha ileri seviyelere ilerleyebilir.
Dis-Eti-Kanamasi
Diş Eti Kanaması Neden Olur?
1. Plak ve Diş Taşı Birikimi
Ağızda yeterince temizlenmeyen diş yüzeyleri üzerinde kısa sürede plak oluşur. Plak uzun süre temizlenmezse mineralize olur ve sert diş taşı halini alır. Bu diş taşları diş eti hattında tahrişe ve kanamaya neden olur. Bu nedenle diş taşı temizliği diş eti kanamasını önlemede kritik rol oynar.
2. Sert Fırçalama ve Yanlış Fırça Kullanımı
Aşırı sert diş fırçalama, diş etlerini tahriş ederek kolayca kanamalarına neden olabilir. Yumuşak kıllı fırçalar ve nazik, dairevi fırçalama teknikleri tercih edilmelidir.
3. Yanlış Diş İpi Kullanımı
Diş ipi kullanımı ağız hijyeni için önemlidir; fakat yanlış veya sert kullanım diş etini zedeleyip kanamayı artırabilir. Uygun teknik ve nazik kullanım çok önemlidir.
4. Hormonal Değişimler
Hamilelik, ergenlik, regl dönemi ve menopoz gibi hormonal iniş çıkışlar diş etlerini daha hassas hale getirir ve kanama riskini artırır.
5. Sistemik Hastalıklar ve Vitamin Eksiklikleri
- C vitamini eksikliği: dokuların onarımı ve bağışıklık sistemini zayıflatır.
- K vitamini eksikliği: kanın pıhtılaşmasını zorlaştırabilir.
- Diyabet: inflamatuar yanıtı artırarak diş eti hastalıklarını şiddetlendirebilir.
- Trombositopeni, hemofili, lösemi gibi hematolojik hastalıklar kanamaya eğilimli dokular oluşturabilir.
Diş Eti Kanaması Belirtileri Nelerdir?
- Diş fırçalama/dental ip kullanımı sonrası kanama
- Diş eti hattında kızarıklık ve şişlik
- Ağızda kötü tat veya kötü koku
- Diş eti hassasiyeti
Diş Eti Kanamasına Ne İyi Gelir?
Diş eti kanaması ile karşılaşan kişiler aşağıdaki evde bakım yöntemlerini deneyebilir. Ancak bunlar, profesyonel değerlendirme yerine geçmez ve yalnızca destekleyicidir:
- Ilık tuzlu su ile gargara (günde 2–3 kez)
- Yumuşak kıllı diş fırçası ile nazik fırçalama
- Kısa süreli soğuk kompres
- Oksijenli su ile ağız çalkalama (yutmayın)
- C ve K vitamininden zengin beslenme
- Sigara ve şekerli içeceklerden uzak durma
Diş Eti Kanaması Nasıl Tedavi Edilir?
Diş eti kanamasının en doğru şekilde değerlendirilmesi ve tedavi planının belirlenmesi için bir diş hekimi muayenesi gereklidir. Tedavi, kanamanın nedenine ve şiddetine göre kişiye özel planlanır. Türkiye’de ve İstanbul’daki modern kliniklerde bu tedaviler genellikle aşağıdaki adımlarla ilerler:
- Profesyonel diş taşı temizliği: Plak ve diş taşı birikimini ortadan kaldırır.
- Kök yüzeyi düzeltme (küretaj): Diş eti cebindeki bakteriyel artıkları temizler.
- Periodontal cerrahi: İleri vakalarda diş eti hattının yeniden şekillendirilmesi.
- Lazer periodontal tedavi: Daha hassas ve konforlu bir yaklaşımdır.
Bu tedaviler hakkında daha detaylı bilgi için Diş Eti Tedavisi sayfamızı ziyaret edebilirsiniz.
📹 Uzman Anlatımı: Diş Eti Kanaması
👩⚕️ Bu videoda Dr. Dt. Aslı Aktan, diş eti kanamasının nedenlerini, erken belirtilerini ve tedavi yaklaşımlarını detaylı şekilde anlatıyor.

Dis-Eti-Kanamasi
🧠 Sık Sorulan Sorular
Diş eti kanaması sistemik hastalıklardan mı olur?
Evet. Diyabet, trombositopeni ve hematolojik bozukluklar diş eti kanamasını tetikleyebilir. Bu nedenle sistemik belirtileriniz varsa diş hekiminiz ve doktorunuzla birlikte değerlendirme gereklidir.
Diş eti kanaması nasıl durdurulur?
Geçici olarak soğuk kompres ve tuzlu su gargara yardımcı olabilir. Ancak altta yatan neden profesyonel değerlendirmeyi gerektirir.
Diş eti kanaması tedavi edilmezse ne olur?
Tedavi edilmeyen kanama ilerleyerek diş eti çekilmesine, kemik kaybına ve diş kaybına yol açabilir. Ayrıca periodontal enfeksiyonlar genel sağlık üzerindeki riskleri artırabilir.
